引用本文: 茹藝, 范俊, 雷蔚, 貝維娟. 視網膜分支靜脈阻塞繼發黃斑水腫雷珠單抗治療后視力預后的列線圖模型構建與驗證. 中華眼底病雜志, 2023, 39(6): 464-470. doi: 10.3760/cma.j.cn511434-20230320-00127 復制
黃斑水腫(ME)是視網膜分支靜脈阻塞(BRVO)的最常見并發癥[1-2],也是導致患者視力下降的主要原因之一[3]。研究顯示,視網膜血管內皮生長因子(VEGF)水平過高是BRVO繼發ME(BRVO-ME)的主要原因[4]。近年抗VEGF藥物治療對于減輕ME,提高視力效果明顯,已成為視網膜靜脈阻塞的主要治療方法。但臨床經驗顯示,經抗VEGF藥物治療后患者的視力恢復存在顯著差異,部分患者雖癥狀有所緩解,但視力恢復情況仍不理想。因此,探究BRVO-ME抗VEGF藥物治療后影響視力預后的因素對于提高臨床療效、改善患者視力至關重要。目前,雖然有關抗VEGF藥物治療BRVO-ME的預后影響因素研究較多,但由于患者依從性和經濟條件的限制,其視力預后的影響因素尚未形成統一認識。為此,本研究通過分析BRVO-ME患者雷珠單抗治療后視力的相關影響因素,建立列線圖預測模型,以期為臨床治療提供相應參考。現將結果報道如下。
1 對象和方法
回顧性研究。本研究經柳州市紅十字會醫院倫理委員會審批(批文號:2018-057);遵循《赫爾辛基宣言》原則;所有患者或監護人均獲知情并簽署書面知情同意書。
2019年1月至2021年12月于柳州市紅十字會醫院眼科檢查確診的BRVO-ME患者130例130只眼納入本研究。其中,男性70例70只眼,女性60例60只眼;年齡(59.20±4.16)(35~82)歲。根據隨機數字表法以3∶1的比例將患者分為訓練集和測試集,分別為98例98只眼、32例32只眼。
納入標準:(1)光相干斷層掃描(OCT)和熒光素眼底血管造影(FFA)檢查結果符合BRVO-ME臨床診斷標準[5];(2)均接受玻璃體腔注射雷珠單抗治療;(3)眼壓正常;(4)隨訪記錄完整;(5)臨床資料完整。排除標準:(1)合并青光眼、白內障、眼外傷、葡萄膜炎等眼部疾病;(2)既往有眼部手術史;(3)其他原因引起的ME;(4)合并惡性腫瘤。
患者均行最佳矯正視力(BCVA)、裂隙燈顯微鏡、間接檢眼鏡、眼底彩色照相、FFA、OCT檢查。BCVA檢查應用國際標準視力表進行,統計時換算為最小分辨角對數(logMAR)視力。采用德國Zeiss公司Cirrus OCT儀測量黃斑中心凹視網膜厚度(CMT),同時檢測視網膜內層、外層強反射點(HRF)數量以及外界膜(ELM)、橢圓體帶(EZ)的完整性。采用深圳斯爾頓科技Master OCT儀測量中心凹視網膜淺層毛細血管叢(SCP)、深層毛細血管叢(DCP)血流密度。臨床數據通過收集患者電子病歷信息獲得,包括年齡、性別、體重指數(BMI)、病程、BRVO-ME分型、ME類型、吸煙和飲酒情況、高血壓、糖尿病、心臟病、高血脂等一般資料。
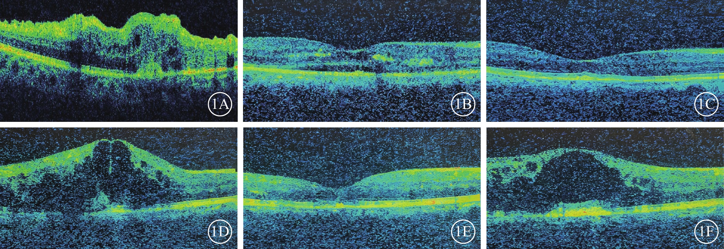
治療后每一個月隨訪1次,連續6個月。隨訪時采用治療前相同設備和方法行相關檢查。根據治療后6個月時logMAR BCVA與治療前logMAR BCVA差值,將訓練集98例患者98只眼分為預后良好組(差值≤-0.3)、預后不良組(差值>-0.3)(圖1),分別為58例58只眼、40例40只眼。

采用SPSS22.0軟件進行統計學分析。計量數據以均數±標準差(±s)表示,組間比較采用t檢驗;計數資料以率(%)表示,組間比較采用χ2檢驗。根據單因素結果進行logistic 回歸分析;將單因素分析中存在統計學差異的因素作為自變量并進行賦值,其中連續變量以中位數為取界值進行二分類,預后情況(預后不良=1,預后良好=0)為因變量,采用多因素logistic回歸分析影響雷珠單抗治療后視力預后的獨立危險因素。采用R(R3.5.3)軟件包和rms程序包對篩選出的獨立危險因素建立列線圖風險預測模型。采用受試者工作特征曲線(ROC曲線)對模型的區分度進行分析。通過校正曲線、一致性指數(C-index)和卷積神經網絡(CNN)對預測模型進行驗證。P<0.05為差異有統計學意義。
2 結果
預后良好組、預后不良組患者年齡、病程、ELM完整性、EZ完整性、BCVA、CMT、外層HRF、內層HRF以及中心凹DCP血流密度比較,差異均有統計學意義(P<0.05);性別構成、BMI、BRVO-ME分型、高血壓、高血脂、糖尿病、治療后局部球結膜下出血、注藥次數、眼軸長度、眼壓、眼壓晝夜變化差、SCP血流密度比較,差異均無統計學意義(P>0.05)(表1)。





多因素logistic回歸分析結果顯示,病程、ELM完整性、BCVA、外層HRF是影響BRVO-ME患眼雷珠單抗治療后視力預后的獨立危險因素(P<0.05)(圖2)。

共線性診斷分析結果顯示,方差膨脹因子均<10(表2)。提示變量之間相互獨立,不存在共線性。

基于病程、ELM完整性、BCVA、外層HRF構建列線圖預測模型(圖3)。病程、ELM完整性、BCVA、外層HRF的評分分別為53.62、62.74、56.70、56.21分,所得總分(229.27分)對應的概率即為列線圖模型預測BRVO-ME患眼經雷珠單抗治療后視力預后不良的概率(81.76%)。

模型驗證,訓練集、測試集C-index分別為0.836(95%CI 0.793~0.865)、0.845(95%CI 0.780~0.872);校正曲線與標準曲線擬合較好(圖4)。表明該列線圖模型在預測BRVO-ME患眼經雷珠單抗治療后視力預后不良的風險值上表現出良好的預測符合度。

從CNN在不同迭代周期下的5折交叉驗證平均識別錯誤率變化趨勢可知,在300個周期后錯誤率逐漸穩定(圖5)。提示該列線圖模型在預測BRVO-ME患眼經雷珠單抗治療后視力預后不良的發生風險具有較高的準確性。

ROC曲線分析結果顯示,訓練集、測試集列線圖模型的曲線下面積(AUC)分別為0.846(95%CI 0.789~0.887)、0.852(95%CI 0.794~0.873)(圖6)。

預測模型的臨床決策曲線閾值概率在0.01~0.95范圍內,凈獲益率>0,提示其有效性較好,安全可靠,實用性強(圖7)。

3 討論
BRVO是臨床常見的視網膜血管疾病[6],發病率較高,可對患者視力產生嚴重影響[7]。ME是BRVO的最主要并發癥,是BRVO患眼視力嚴重降低的最主要原因[8-9]。研究顯示,雷珠單抗治療可有效恢復視網膜黃斑區的結構和功能,減輕ME癥狀,改善BRVO-ME患眼視力[10-11]。雖然雷珠單抗治療安全有效,但不同患者治療后的預后視力存在較大差異。有研究發現,雷珠單抗治療6個月后,超過90%的患眼CMT顯著降低,但BCVA恢復較差[11]。這提示,雖然多數患眼治療后ME癥狀得以改善,但部分患眼治療后視力仍無法達到理想程度。因此,探究影響BRVO-ME患眼雷珠單抗治療后視力預后的相關影響因素意義重大。
既往研究發現,病程是BRVO-ME患眼治療后視力預后的重要預測因子[12]。本研究結果顯示,預后不良組患眼病程顯著長于預后良好組,為BRVO-ME患眼雷珠單抗治療后視力預后的獨立危險因素。這可能是由于病程長的患眼視網膜及黃斑區水腫時間也較長,長時間的水腫導致視網膜發生不可逆轉損傷[13],視力損害更加嚴重,因此患者治療后視力預后不良的概率更大。另有研究發現,患眼治療前BCVA越差,治療后視力恢復也越差[14]。本研究結果顯示,預后不良組患眼治療前BCVA顯著低于預后良好組,為BRVO-ME患眼雷珠單抗治療后預后的獨立危險因素。這提示,在治療過程中需對BRVO-ME患眼進行及早干預,以改善BCVA獲得更好的預后。Kim等[15]發現,ELM和EZ可反映視網膜光感受器的狀態和功能,而光感受器的狀態與患眼BCVA的恢復存在密切關系。Algahtani等[16]發現,ELM和EZ的完整性是患眼遠期視力恢復的重要影響因素。本研究結果顯示,ELM完整性是BRVO-ME患眼經雷珠單抗治療后視力預后的獨立危險因素,但未發現EZ與BRVO-ME患眼視力預后之間存在明顯關系。這可能是由于EZ的缺失可自行恢復,而合并ELM損傷后,EZ不能修復,這進一步說明ELM在患眼治療后視力預后中的重要作用。此外,本研究還發現,預后不良組患眼外層HRF數量顯著高于預后良好組,外層HRF是BRVO-ME患眼經雷珠單抗治療后視力預后的獨立危險因素。這可能是由于HRF數量的增加伴隨著硬性滲出的增加,患眼視力損害更加嚴重,因而治療后視力預后較差。
本研究基于BRVO-ME患眼雷珠單抗治療后視力預后的獨立危險因素建立列線圖模型,訓練集、測試集C-index分別為0.836(95%CI 0.793~0.865)、0.845(95%CI 0.780~0.872),AUC分別為0.846(95%CI 0.789~0.887)、0.852(95%CI 0.794~0.873);從CNN在不同迭代周期下的5折交叉驗證平均識別錯誤率變化趨勢可知在300個周期后錯誤率逐漸穩定;臨床決策曲線閾值概率在0.01~0.95范圍內,凈獲益率>0。這表明,該列線圖模型具有較高的區分度、準確性和臨床適用性,一定程度上可作為臨床BRVO-ME患眼雷珠單抗治療后視力預后的輔助預測工具。
本研究存在的局限性:(1)納入樣本中的糖尿病患者雖無任何糖尿病視網膜病變跡象,但仍可能存在潛在影響;(2)本研究納入影響視力恢復的因素不全面,其他結構及參數對于視力預后的影響還需進一步研究;(3)樣本數量較少且較為單一。未來研究將擴大樣本數量,盡可能補足欠缺之處,以期為臨床提供更加精準的數據支持。
黃斑水腫(ME)是視網膜分支靜脈阻塞(BRVO)的最常見并發癥[1-2],也是導致患者視力下降的主要原因之一[3]。研究顯示,視網膜血管內皮生長因子(VEGF)水平過高是BRVO繼發ME(BRVO-ME)的主要原因[4]。近年抗VEGF藥物治療對于減輕ME,提高視力效果明顯,已成為視網膜靜脈阻塞的主要治療方法。但臨床經驗顯示,經抗VEGF藥物治療后患者的視力恢復存在顯著差異,部分患者雖癥狀有所緩解,但視力恢復情況仍不理想。因此,探究BRVO-ME抗VEGF藥物治療后影響視力預后的因素對于提高臨床療效、改善患者視力至關重要。目前,雖然有關抗VEGF藥物治療BRVO-ME的預后影響因素研究較多,但由于患者依從性和經濟條件的限制,其視力預后的影響因素尚未形成統一認識。為此,本研究通過分析BRVO-ME患者雷珠單抗治療后視力的相關影響因素,建立列線圖預測模型,以期為臨床治療提供相應參考。現將結果報道如下。
1 對象和方法
回顧性研究。本研究經柳州市紅十字會醫院倫理委員會審批(批文號:2018-057);遵循《赫爾辛基宣言》原則;所有患者或監護人均獲知情并簽署書面知情同意書。
2019年1月至2021年12月于柳州市紅十字會醫院眼科檢查確診的BRVO-ME患者130例130只眼納入本研究。其中,男性70例70只眼,女性60例60只眼;年齡(59.20±4.16)(35~82)歲。根據隨機數字表法以3∶1的比例將患者分為訓練集和測試集,分別為98例98只眼、32例32只眼。
納入標準:(1)光相干斷層掃描(OCT)和熒光素眼底血管造影(FFA)檢查結果符合BRVO-ME臨床診斷標準[5];(2)均接受玻璃體腔注射雷珠單抗治療;(3)眼壓正常;(4)隨訪記錄完整;(5)臨床資料完整。排除標準:(1)合并青光眼、白內障、眼外傷、葡萄膜炎等眼部疾病;(2)既往有眼部手術史;(3)其他原因引起的ME;(4)合并惡性腫瘤。
患者均行最佳矯正視力(BCVA)、裂隙燈顯微鏡、間接檢眼鏡、眼底彩色照相、FFA、OCT檢查。BCVA檢查應用國際標準視力表進行,統計時換算為最小分辨角對數(logMAR)視力。采用德國Zeiss公司Cirrus OCT儀測量黃斑中心凹視網膜厚度(CMT),同時檢測視網膜內層、外層強反射點(HRF)數量以及外界膜(ELM)、橢圓體帶(EZ)的完整性。采用深圳斯爾頓科技Master OCT儀測量中心凹視網膜淺層毛細血管叢(SCP)、深層毛細血管叢(DCP)血流密度。臨床數據通過收集患者電子病歷信息獲得,包括年齡、性別、體重指數(BMI)、病程、BRVO-ME分型、ME類型、吸煙和飲酒情況、高血壓、糖尿病、心臟病、高血脂等一般資料。
治療后每一個月隨訪1次,連續6個月。隨訪時采用治療前相同設備和方法行相關檢查。根據治療后6個月時logMAR BCVA與治療前logMAR BCVA差值,將訓練集98例患者98只眼分為預后良好組(差值≤-0.3)、預后不良組(差值>-0.3)(圖1),分別為58例58只眼、40例40只眼。

采用SPSS22.0軟件進行統計學分析。計量數據以均數±標準差(±s)表示,組間比較采用t檢驗;計數資料以率(%)表示,組間比較采用χ2檢驗。根據單因素結果進行logistic 回歸分析;將單因素分析中存在統計學差異的因素作為自變量并進行賦值,其中連續變量以中位數為取界值進行二分類,預后情況(預后不良=1,預后良好=0)為因變量,采用多因素logistic回歸分析影響雷珠單抗治療后視力預后的獨立危險因素。采用R(R3.5.3)軟件包和rms程序包對篩選出的獨立危險因素建立列線圖風險預測模型。采用受試者工作特征曲線(ROC曲線)對模型的區分度進行分析。通過校正曲線、一致性指數(C-index)和卷積神經網絡(CNN)對預測模型進行驗證。P<0.05為差異有統計學意義。
2 結果
預后良好組、預后不良組患者年齡、病程、ELM完整性、EZ完整性、BCVA、CMT、外層HRF、內層HRF以及中心凹DCP血流密度比較,差異均有統計學意義(P<0.05);性別構成、BMI、BRVO-ME分型、高血壓、高血脂、糖尿病、治療后局部球結膜下出血、注藥次數、眼軸長度、眼壓、眼壓晝夜變化差、SCP血流密度比較,差異均無統計學意義(P>0.05)(表1)。





多因素logistic回歸分析結果顯示,病程、ELM完整性、BCVA、外層HRF是影響BRVO-ME患眼雷珠單抗治療后視力預后的獨立危險因素(P<0.05)(圖2)。

共線性診斷分析結果顯示,方差膨脹因子均<10(表2)。提示變量之間相互獨立,不存在共線性。

基于病程、ELM完整性、BCVA、外層HRF構建列線圖預測模型(圖3)。病程、ELM完整性、BCVA、外層HRF的評分分別為53.62、62.74、56.70、56.21分,所得總分(229.27分)對應的概率即為列線圖模型預測BRVO-ME患眼經雷珠單抗治療后視力預后不良的概率(81.76%)。

模型驗證,訓練集、測試集C-index分別為0.836(95%CI 0.793~0.865)、0.845(95%CI 0.780~0.872);校正曲線與標準曲線擬合較好(圖4)。表明該列線圖模型在預測BRVO-ME患眼經雷珠單抗治療后視力預后不良的風險值上表現出良好的預測符合度。

從CNN在不同迭代周期下的5折交叉驗證平均識別錯誤率變化趨勢可知,在300個周期后錯誤率逐漸穩定(圖5)。提示該列線圖模型在預測BRVO-ME患眼經雷珠單抗治療后視力預后不良的發生風險具有較高的準確性。

ROC曲線分析結果顯示,訓練集、測試集列線圖模型的曲線下面積(AUC)分別為0.846(95%CI 0.789~0.887)、0.852(95%CI 0.794~0.873)(圖6)。

預測模型的臨床決策曲線閾值概率在0.01~0.95范圍內,凈獲益率>0,提示其有效性較好,安全可靠,實用性強(圖7)。

3 討論
BRVO是臨床常見的視網膜血管疾病[6],發病率較高,可對患者視力產生嚴重影響[7]。ME是BRVO的最主要并發癥,是BRVO患眼視力嚴重降低的最主要原因[8-9]。研究顯示,雷珠單抗治療可有效恢復視網膜黃斑區的結構和功能,減輕ME癥狀,改善BRVO-ME患眼視力[10-11]。雖然雷珠單抗治療安全有效,但不同患者治療后的預后視力存在較大差異。有研究發現,雷珠單抗治療6個月后,超過90%的患眼CMT顯著降低,但BCVA恢復較差[11]。這提示,雖然多數患眼治療后ME癥狀得以改善,但部分患眼治療后視力仍無法達到理想程度。因此,探究影響BRVO-ME患眼雷珠單抗治療后視力預后的相關影響因素意義重大。
既往研究發現,病程是BRVO-ME患眼治療后視力預后的重要預測因子[12]。本研究結果顯示,預后不良組患眼病程顯著長于預后良好組,為BRVO-ME患眼雷珠單抗治療后視力預后的獨立危險因素。這可能是由于病程長的患眼視網膜及黃斑區水腫時間也較長,長時間的水腫導致視網膜發生不可逆轉損傷[13],視力損害更加嚴重,因此患者治療后視力預后不良的概率更大。另有研究發現,患眼治療前BCVA越差,治療后視力恢復也越差[14]。本研究結果顯示,預后不良組患眼治療前BCVA顯著低于預后良好組,為BRVO-ME患眼雷珠單抗治療后預后的獨立危險因素。這提示,在治療過程中需對BRVO-ME患眼進行及早干預,以改善BCVA獲得更好的預后。Kim等[15]發現,ELM和EZ可反映視網膜光感受器的狀態和功能,而光感受器的狀態與患眼BCVA的恢復存在密切關系。Algahtani等[16]發現,ELM和EZ的完整性是患眼遠期視力恢復的重要影響因素。本研究結果顯示,ELM完整性是BRVO-ME患眼經雷珠單抗治療后視力預后的獨立危險因素,但未發現EZ與BRVO-ME患眼視力預后之間存在明顯關系。這可能是由于EZ的缺失可自行恢復,而合并ELM損傷后,EZ不能修復,這進一步說明ELM在患眼治療后視力預后中的重要作用。此外,本研究還發現,預后不良組患眼外層HRF數量顯著高于預后良好組,外層HRF是BRVO-ME患眼經雷珠單抗治療后視力預后的獨立危險因素。這可能是由于HRF數量的增加伴隨著硬性滲出的增加,患眼視力損害更加嚴重,因而治療后視力預后較差。
本研究基于BRVO-ME患眼雷珠單抗治療后視力預后的獨立危險因素建立列線圖模型,訓練集、測試集C-index分別為0.836(95%CI 0.793~0.865)、0.845(95%CI 0.780~0.872),AUC分別為0.846(95%CI 0.789~0.887)、0.852(95%CI 0.794~0.873);從CNN在不同迭代周期下的5折交叉驗證平均識別錯誤率變化趨勢可知在300個周期后錯誤率逐漸穩定;臨床決策曲線閾值概率在0.01~0.95范圍內,凈獲益率>0。這表明,該列線圖模型具有較高的區分度、準確性和臨床適用性,一定程度上可作為臨床BRVO-ME患眼雷珠單抗治療后視力預后的輔助預測工具。
本研究存在的局限性:(1)納入樣本中的糖尿病患者雖無任何糖尿病視網膜病變跡象,但仍可能存在潛在影響;(2)本研究納入影響視力恢復的因素不全面,其他結構及參數對于視力預后的影響還需進一步研究;(3)樣本數量較少且較為單一。未來研究將擴大樣本數量,盡可能補足欠缺之處,以期為臨床提供更加精準的數據支持。